審美治療とは

審美治療は、美しい口元を実現するために行われる治療で、外見や美しさに焦点を当てています。これには、歯の美白、歯の形の改善など健康的な口元を目指します。歯の色を美しくするためには、歯の表面の色素を取り除くクリーニングや歯のホワイトニングなどがあります。
セラミックを用いた治療では、前歯の向きや歯のすき間の改善や歯の形を美しく整えることが可能です。保険治療で使用できる材料より優れているため歯周病のリスクを軽減できることや、汚れがつきにくく変色しづらいことも特徴です。 矯正治療とは異なり、短期間で口元の印象を美しく改善することができます。
審美治療のこだわり

- 美しい口元を追求
- 歯周病などのリスク軽減
- 前歯などの気になる部分を調整
- 短期間の治療で解決
当院の審美歯科

- 技工所との連携
歯科技工士と呼ばれる、詰め物や被せ物を作る専門家と連携し、高い精度で仕上げます。 - 審美ホワイトニングルームを設置
リラックスして治療を受けて頂ける様に審美治療・ホワイトニングの専用ルームを設けました。 - 豊富な症例数
見た目の美しさを実現するためには技術と経験が不可欠です。日々多くの患者様に美しくなった喜びを実感して頂いております。 - 高品質、低価格を実現
多くの方にご選択して頂けるよう低価格を実現。デンタルローンに対応していますのでご予算に合わせてお支払いしやすい方法をお選び頂けます。 - トータルケア
もちろん通常の歯科治療も丁寧にご対応しております。健康的で美しい口元を保つためのメンテナンスやホワイトニングにも対応しております。
症例紹介


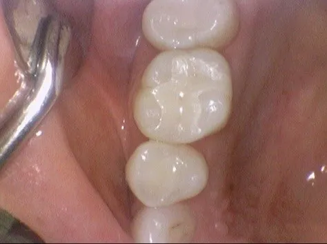
| 治療期間(回数) | 2回 |
|---|---|
| 治療内容 | メタルインレーをジルコニアインレーに |
| 治療本数 | 1本 |
| 費用 | 49,500円(税込) |
| リスク・副作用 | 虫歯にならないわけではないので、他の歯と同様に定期的な管理が必要 |


| 治療期間(回数) | 2回 |
|---|---|
| 治療内容 | メタルインレーをジルコニアインレーに |
| 治療本数 | 1本 |
| 費用 | 49,500円(税込) |
| リスク・副作用 | 虫歯にならないわけではないので、他の歯と同様に定期的な管理が必要 |


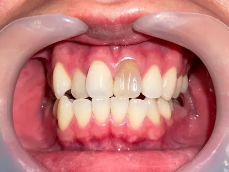
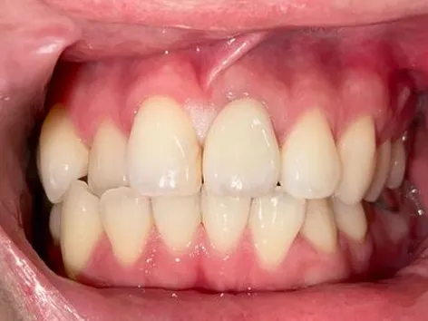
| 治療内容 | 変色に困っている歯を白くすることで、外見や美しさを取り戻す。 |
|---|---|
| 費用(税込み) | 1本100,000円(税込) |
| メリットデメリット | 白く透明感のある歯や整った歯並びは、清潔感や若々しさの印象にもつながります。治療中、仮歯の期間があります。他の歯と同様に定期的な管理が必要です。 |
| 治療期間 | 2か月 |
| 治療回数 | 5回程度 |
| 主訴 | 過去に治療した前歯の変色が気になる |
どのような方におすすめか

歯の治療とは、一概に歯の機能回復だけを目指しているものではありません。前歯が何らかの理由で欠損してしまったり、過去の治療の副作用などで変色したりしていると、それが大きなコンプレックスになる人は少なくありません。その結果、口を開けること自体が少なくなり、笑うたびに口を隠してしまうなど、自然な笑顔の表情からも遠ざかってしまいます。
美しい仕上がりのセラミックの詰め物や被せ物で治療をすれば、そんなコンプレックスから解き放たれます。笑顔を取り戻し、再び前向きな人生を送れるようになるのです。
2022年6月に審美ホワイトニングルームを新設しましたので以前よりもご予約が取りやすくなっておりますのでお気軽にご相談下さい。


セラミックのメリットとデメリット
セラミックのメリット
- レジンなどの素材に比べ、ほかの歯に合わせた色合いに調整できるので、被せ物をしても違和感がまったくありません。
- 高い耐久性があります。また変色することもありません。
- セラミックを入れる前に歯をホワイトニングすれば、セラミックもホワイトニング後の色に合わせることができるため、より白い歯を保つことができます(定期的なホワイトニングが必要です)。
- プラークやステインが付着しにくいので、比較的、虫歯や歯周病になりにくくなります。
セラミックのデメリット
- 自費診療になるので、レジンなどの素材に比べ、比較的高価になります。
- あまりに硬いものをかじったり、就寝中に歯ぎしりをすると、セラミックに大きな負荷がかかり、欠けてしまう可能性があります。そのような方には、セラミックより耐久性に優れたジルコニア素材も選択が可能です。
詰め物・被せ物の特徴と費用
被せ物
| ジルコニア・レイアリング(自費) | ¥110,000(税込) |
|---|
| ジルコニア・グラデーション (自費) | 前歯¥99,000 その他¥88,000(税込) |
|---|
5層のグラデーション構造により高い透光性を実現。奥歯向きの素材ですが、条件次第で前歯にも対応可能。
| ジルコニア 強度重視タイプ(自費) | ¥49,500(税込) |
|---|
通常の2倍の強度にした最も硬くて丈夫なジルコニアです。強度が増した分、透明感は劣ります。
| セラミック メタル付き(自費) | ¥88,000(税込) |
|---|
金属フレームの上にセラミックを強固に焼き付けて形成されています。金属を使用しているため、色調再現や透光性はやや劣ります。
場合によっては歯ぐきに変色してくることがあります。金属アレルギーの方は使用できません。
| 硬質レジン前装冠(保険適用) | 約¥8,800(税込) |
|---|
メタルフレームの前面に硬質のレジンを美装したタイプです。
自費の材質と比べると色調再現性が劣り、経年劣化により変色・着色・割れたりすることがあります。
詰め物
| プレスセラミック(自費) | ¥49,500(税込) |
|---|
とっても丈夫なガラスセラミック製です。セラミックは生体親和性が良いので金属アレルギーの心配がありません。
天然歯の色調に合わせることが可能です。
| ハイブリッドレジン(自費) | ¥33,000(税込) |
|---|
レジンとセラミックの複合体の材料です。レジンと比べて壊れにくく、硬すぎないので他の歯を痛めにくいのが特徴。
色調はセラミックに劣り、経年劣化により変色するという欠点があります。
デンタルローンについて
保険適用されない3万円以上の高額な治療費のお支払いにはデンタルローンを使用できます。
3回~120回までご希望の金額に合わせて分割でのお支払いが可能です。お気軽にご相談ください。
ホワイトニングの種類と費用
ホワイトニングとは
ホワイトニングとは、歯を削ったりすることなく、薬剤などを使って歯を白くする方法です。黄ばんだ歯が輝く白い歯に変身します。また定期的なメンテナンスをすれば、美しさを継続することができます。
ホワイトニングには、クリニックで行う「オフィスホワイトニング」と、ご自宅で行う「ホームホワイトニング」の2種類があります。当院では、ホームホワイトニングを中心にご案内しております。
ホームホワイトニングは、ご自宅で好きな時間にでき、満足のいくレベルまで歯を白くすることができます。
ホワイトニングとセラミック
セラミックを入れる前に歯をホワイトニングすれば、白くなった歯に合わせた色味にセラミックを合わせることができます。より白い歯を保つことができます(定期的なホワイトニングが必要です)。
ホワイトニングのメリットとデメリット
ホワイトニングのメリット
- 白く清潔感のある歯は、周りに与える印象を良くします。
- 個人差はありますが、透明感のある白さを実現できます。
ホワイトニングのデメリット
- ホワイトニングの効果は継続する事で実感できます。
- 色が後戻りする事がございます。
- しみる場合はあります。
ホワイトニングの費用
| ホームホワイトニング | ¥33,000(税込) |
|---|---|
| オフィスホワイトニング | ¥33,000(税込) |
| デュアルホワイトニング | ¥55,000(税込) |
| マウスピース | ¥5,500(税込) |
| ジェルの追加 | ¥2,750/1本(税込) |
ご自宅で行うホワイトニングです。ホワイトニング剤を入れた、専用のマウスピースを装着して歯の色を白くします。
好きな時間にホワイトニングができ、比較的色戻りが少ないのが特徴です。












