見た目が変わると
自信が変わる
このような
不安・疑問
はないですか?
歯科医師の技術力・経験が
セラミック治療の結果に
大きく直結します!


全国規模でも実績豊富な当院に
お任せください!
Features
当院の特徴

治療技術に定評あり
年間800症例以上の経験
当院は全国規模で豊富なセラミック治療の症例数を誇っており、豊富な治療経験に基づいた高い精度の仕上がりを実現しています。
患者一人ひとりの歯の形や色、かみ合わせを精密に把握して、長期的な健康や美しさを考えた計画で最適な素材のご提案、設計を行います。
補綴(ほてつ)賞受賞
補綴とは、歯が欠けたり傷を修復し、美しさと機能を回復させる治療のことです。当院長は元々、手先を使う作業が好きな事もあり、その『補綴』技術に優れているのが評価され、神奈川歯科大学卒業時に補綴賞を受賞しました。

治療後も安心のアフターケア
2年保証
※最初の2年間は1度のみ100%保証、その後の5年未満は50%保証
天然の歯よりも強度か高いとされているセラミックですが、転倒や事故などの強い衝撃、歯ぎしりや食いしばりなどの癖、もしくは噛み合わせの悪さなどで、想定以上の負荷がかかると、破損してしまう可能性が0ではありません。
また接着剤の劣化などが理由となって、セラミックが取れてしまう可能性もゼロではありません。
そのため当院では、セラミックに対して安心の~年保証を設けています。
なお詳しい保証の対象条件については、施術前に詳しく説明させていただきますので、ご確認ください。
トータルケア
当院では、セラミックの治療で綺麗になって終わりではなく、より長持ちさせるために定期的なトータルケアをお勧めしています。
歯は一生涯に予期せずトラブルや気づかないところで異常が起きることがあります。
特にセラミック治療を受けた後は、歯や歯茎の状態をしっかりと見守り、微細な問題でも早期に発見し対応することが大切です。
プロによるクリーニングや検診を定期的に受けることで、セラミックの美しさと機能を長期間保つだけでなく、健康な歯肉や自然歯も守ることができます。

通いやすい環境の提供
半個室と
完全個室をご用意
自費治療をご希望の方を対象として、駐車場から直結の完全個室をご用意しております。
待合室や受付で、他の患者様と接触することがないので、感染症のリスクを極力抑えることができるというメリットがあります。
また医師と歯科衛生士以外と顔を合わせることがなく、プライバシーの観点からも安心してご来院していただけます。
通常は半個室での治療となります。完全個室をご希望の場合は予約時にお申し付けください。
駐車場完備
クリニックの敷地内に、7台分の駐車場スペースをご用意しております。
最寄り駅の札幌市営地下鉄発寒南駅から徒歩3分と、アクセスしやすい立地となっておりますので、お気軽にご来院ください。
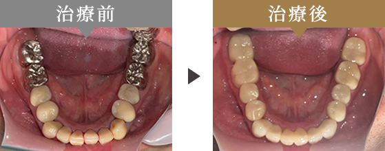
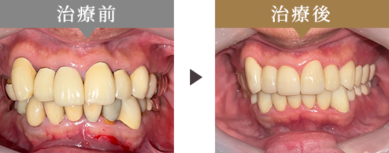
Case record
症例実績


| 主訴 | 過去に治療した歯のフチが黒いのが気になる。 前歯の黄ばみ、変色が気になる。 |
|---|---|
| 治療内容 | 保険の前装冠をジルコニアグラデーションに変更。 |
| 治療回数 | 2回 状態によって変わる場合があります。 |
| 治療費用 | 198,000円(税込) 内訳:99,000円(税込)×2 |
| リスク・副作用 | 治療中、仮歯の期間があります。 他の歯と同様に定期的な管理が必要です。 |


| 主訴 | 綺麗にしたい、白くしたい |
|---|---|
| 治療内容 | ジルコニアクラウン、ジルコニアグラデーションにて補綴 |
| 治療回数 | 20回 |
| 治療費用 | 1,960,000円 |
| リスク・副作用 | 治療中、仮歯の期間があります。 他の歯と同様に定期的な管理が必要です。 |
REASON
セラミックをオススメする理由
審美性
自然なツヤ感
セラミックは透明感のある素材を用いることで、天然の歯に近い見た目の美しさを実現できる治療です。
一人ひとりの歯の形に合わせて素材を加工するので、周囲の歯とも馴染みがよく、自然なツヤ感やグラデーションを表現できます。
歯科医であっても思わず天然歯と間違ってしまうほどのクオリティが特徴で、ナチュラルに美しい口元に仕上がります。
耐久性
水分を吸収しにくい
セラミックは、お茶碗などに使われる陶器と同じ材質でできています。
セラミックは水分を吸収することのない素材なので、長期間にわたって品質が変化しにくく、変色のリスクも低いというメリットがあります。
また耐熱性・耐腐食性という観点からも、口腔内で使用する上で十分な耐久性があります。
非金属
身体に優しい素材
セラミックは、金属を使用していない素材です。
そのため口腔内での化学反応が起きにくく、金属アレルギーの方であっても安心して装着していただける素材です。
接着する際に使用する接着剤も安全性が確保された素材ですので、銀歯や金歯では痒みを感じる方でも、セラミックならアレルギー反応が出ません。
衛生保持
プラークが付きにくい
セラミックは、表面がツルツルの状態にコーティングされており、プラークや歯石などの汚れが蓄積しにくい素材です。
表面に細かい傷がつきやすい銀歯と比較して、口腔内を清潔に保つことができるというメリットがあります。
また銀歯の場合、唾液にさらされ続けて金属が溶け出すと、銀歯と天然歯の間にスキマが生じてしまい、セルフケアでは取り除けないプラークが蓄積しやすいというデメリットがあります。
セラミックは唾液によって溶けたり、熱によって膨張したりすることがないので、天然歯とのスキマも生じにくく、プラークの取り残しも発生しにくいという特徴があります。
comparison
セラミック(自費)と保険の
素材の違いは?

zirconia
当院一押し セラミック素材
当院一押し セラミック素材
ジルコニア
審美性・耐久性・強度を兼ね備えた素材
審美性・耐久性・強度を兼ね備えた素材
人工ダイヤモンド
のような美しさ
ジルコニアは歯の色に近い白い素材で、周囲の歯と調和した自然な見た目を実現します。金属の詰め物とは異なり、目立ちにくく、美しい仕上がりが特徴です。
高い強度と耐久性
ジルコニアは非常に強度が高く、歯ぎしりや食いしばりのある奥歯にも適しています。耐久性に優れているため、長期間快適に使用することができます。
金属を使わない
安全性
金属を一切使用しないため、金属アレルギーの心配がありません。金属アレルギーのリスクを避けたい方や、アレルギーのある方も安心して使用できます。
FAQ
よくある質問
- Q
- 治療期間はどれくらいですか?
-
- A
- セラミックの治療期間は、初回のご相談から装着まで、およそ2週間程度~となっています。
ただし、虫歯がある場合や、複数の歯に対するセラミック治療が必要な場合は、1ヵ月以上の期間を要することがあります。
詳しくは初回のご相談時に、口腔内の状態を確認した上で、治療期間をご案内させていただきます。
- Q
- どれくらい長持ちしますか?
-
- A
- 突発的なトラブルが起きなければ、7年以上の耐久性がある素材です。
当院では様々な種類のセラミックを扱っており、患者様のご要望、歯の適合性も含めてご提案し、設計を行います。
またセラミックを長持ちさせる上で欠かすことのできない、メンテナンスやトータルケアも、当院で対応可能です。
- Q
- セラミックは変色しませんか?
-
- A
- セラミックはプラスチックと異なり、水分を吸収しない素材のため、変色リスクが非常に低いです。
ステインなどの色素も沈着しにくい素材ですので、着色汚れの心配もありません。
- Q
- セラミック治療は痛いですか?
-
- A
- 治療に伴って歯を削る必要がある場合、もしくは歯髄(歯の神経)に近い部分に処置が必要な場合にも局所麻酔を用いますので痛みは感じにくいです。
また、最終的なセラミック装着の前段階で仮歯を装着する際に、嚙み合わせに違和感を覚える方もいらっしゃいますがしっかりと調整してまいりますので、ご安心ください。
- Q
- 特別なメンテナンスは必要ないですか?
-
- A
- セラミックは耐久性が非常に高い素材ではありますが、ブラッシングを怠った場合や、硬い食べ物・粘度のある食べ物を頻繁に食べる傾向のある方の場合は劣化が早まる可能性があります。
そのため、日常的にブラッシングやデンタルフロスを用いたセルフケアを行っていただき、3ヵ月~半年に1度は、歯科医院での定期検診をおすすめいたします。
Treatment flow
治療の流れ
01
初診・カウンセリング

セラミックと保険適用素材の違いやメリット・デメリット、デンタルローンなどに関しても詳しくご説明いたします。
不安なことや疑問点は、なんでもお気軽にご相談ください。
02
治療計画

ホワイトニングをご希望される方も、ホワイトニング後の歯の色に合わせてセラミックを装着すると自然な仕上がりになるので、先にホワイトニングを進めてまいります。
03
歯の型取り

また歯の型取りの精度によって、セラミック装着後の噛み合わせや耐久性に大きな差が生じるため、熟練の経験を活かして、慎重に行います。
04
仮歯の装着

その間はレジン(合成樹脂)でできた仮歯を装着していただき、噛み合わせの状態を記録していきます。
05
セラミックの装着

特に噛み合わせの調整が不十分な場合、セラミックに想定以上の負荷がかかり、痛みを感じる、破損してしまう、などの思わぬトラブルにつながりかねません。
ミリ単位での調整を行い、咬合に影響がなく、審美的にも美しい状態に整えます。
06
メンテナンス

定期的なメンテナンスを行うことにより、セラミックの耐久性も高まるほか、虫歯や歯周病などの発生を防ぎ、口腔内を健康に保つことが可能になります。
FEE
料金
セラミック 1歯
45,000円
(税込)※奥歯
デンタルローンで3回~120回までご希望の金額に合わせて分割でのお支払いが可能です。
3万円以上の自費治療費のお支払いにはデンタルローンを使用できます。
料金表
被せ物
| ジルコニア・レイアリング(自費) | ¥110,000(税込) |
|---|
コンピュータ制御(CAD/CAM)で強固なセラミックキャップをベースに多彩なセラミックで形成されているため、天然歯に近い強度とナチュラルな色調再現が可能。
| ジルコニア・グラデーション(自費) | 前歯¥99,000 |
|---|---|
| その他¥88,000(税込) |
5層のグラデーション構造により高い透光性を実現。奥歯向きの素材ですが、条件次第で前歯にも対応可能。
| ジルコニア強度重視タイプ(自費) | ¥49,500(税込) |
|---|
通常の2倍の強度にした最も硬くて丈夫なジルコニアです。強度が増した分、透明感は劣ります。
| セラミックメタル付き(自費) | ¥88,000(税込) |
|---|
金属フレームの上にセラミックを強固に焼き付けて形成されています。金属を使用しているため、色調再現や透光性はやや劣ります。場合によっては歯ぐきに変色してくることがあります。金属アレルギーの方は使用できません。
| 硬質レジン前装冠(保険適用) | 約¥8,800(税込) |
|---|
メタルフレームの前面に硬質のレジンを美装したタイプです。
自費の材質と比べると色調再現性が劣り、経年劣化により変色・着色・割れたりすることがあります。
詰め物
| プレスセラミック(自費) | ¥49,500(税込) |
|---|
とっても丈夫なガラスセラミック製です。セラミックは生体親和性が良いので金属アレルギーの心配がありません。
天然歯の色調に合わせることが可能です。
| ハイブリッドレジン(自費) | ¥33,000(税込) |
|---|
レジンとセラミックの複合体の材料です。レジンと比べて壊れにくく、硬すぎないので他の歯を痛めにくいのが特徴。
色調はセラミックに劣り、経年劣化により変色するという欠点があります。
GREETING
ご挨拶
歯の治療とは、一概に歯の機能回復だけを目指しているものではありません。歯は食べるための道具であると同時に、笑顔を彩る大切な要素でもあります。
前歯が何らかの理由で欠損してしまったり、過去の治療の副作用などで変色したりしていると、それが大きなコンプレックスになる人は少なくありません。
鏡を見るたびにその歯が気になり、人前で口を開けることさえもためらうようになり、笑うたびに手で口を隠してしまうこともあるでしょう。
そうした心の負担は、自然な笑顔を遠ざけ、コミュニケーションの場面でも自信を失わせてしまう原因となります。
しかし、美しい仕上がりのセラミックの詰め物や被せ物で治療を行えば、そうしたコンプレックスから解き放たれます。
歯本来の機能を回復するだけでなく、見た目の美しさも取り戻すことができるのです。
その結果、笑顔を取り戻し、人前でも堂々と自信を持って話せるようになり、再び前向きな人生を送れるようになるでしょう。
私たちは、患者様一人ひとりが笑顔で満ちあふれる日常を取り戻すために、最善の治療を提供することをお約束します。
CLINIC
医院情報

- 公共交通機関をご利用の患者さまへ
札幌市営地下鉄東西線発寒南駅 2番出口より徒歩3分

- お車・タクシーをご利用の患者さまへ
● 札幌市営地下鉄東西線宮の沢駅から車で4分
● JR函館本線発寒中央駅から車で7分
● JR函館本線発寒駅から車で10分



